
약제의 발견이나 설계를 하는 「창약(Drug discovery)」프로세스에서는, 목적한 약제를 만들기 위한 후보 화합물이나 화학물질의 선정, 작용의 스크리닝 과정이 필요합니다. 창약은 많은 비용과 오랜 시간이 걸리지만 기계 학습을 통하여 AI가 불과 5분 만에 노화 방지제 후보 분자를 도출한 것을 에든버러 대학의 Vanessa Smer-Barreto 씨의 연구팀이 보고했습니다.
Discovery of senolytics using machine learning | Nature Communications
https://doi.org/10.1038/s41467-023-39120-1

AI finds drugs that could fight ageing and age-related diseases
https://theconversation.com/ai-finds-drugs-that-could-fight-ageing-and-age-related-diseases-208390
AI finds drugs that could fight ageing and age-related diseases
Three promising new anti-ageing compounds have been found by artificial intelligence models.
theconversation.com
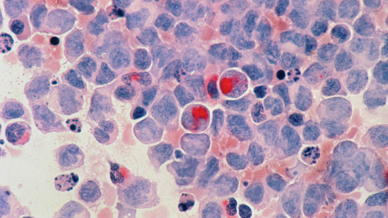
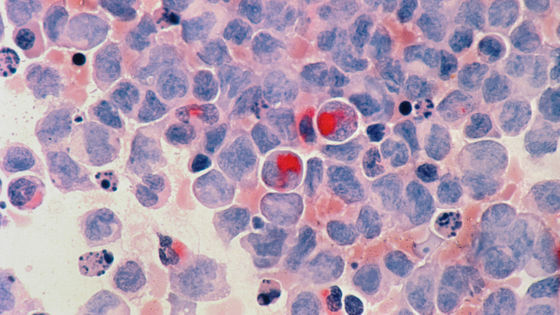
노화세포라 불리는 세포는 다양한 스트레스에 의해 염색체에 상처가 나면서 돌이킬 수 없이 세포분열이 정지된 세포입니다. 체내에서 노화세포의 수가 증가하면 2형 당뇨병이나 신형 코로나바이러스, 간질성 폐렴 변형성 관절증, 암 등의 질환을 발병할 위험이 높아지는 것으로 알려져 있습니다.
지금까지의 연구에서는 마우스에 노화 방지제를 투여하여 노화 세포를 제거함으로써 이러한 질병의 위험을 줄일 수 있음을 보여주었습니다. 또한, 이러한 약물은 건강한 세포에 악영향을 미치지 않고 노화 세포만을 효과적으로 죽일 수 있습니다.
지금까지 약 80종의 항노화제가 발견되어 왔지만, 실제로 인간에 대한 임상시험이 행해진 것은 다사티닙과 케르세틴 조합의 2종류뿐이었습니다. 다양한 병에 사용할 수 있는 항노화약의 발견이 요구되고 있습니다만, 창약이나 제조 등을 거쳐 약제가 시장에 나오기까지는 수십 년의 세월과 수십억 달러(수조 원)의 비용이 든다는 것이 문제입니다.

그래서 Barret의 연구팀은 새로운 노화 방지제를 확인하기 위해 AI를 사용한 기계 학습 모델을 훈련했습니다. 연구팀은 AI에 대해 알려진 항노화제와 비항노화제의 예를 주었고, 이 두 가지를 구별하는 학습을 실시했습니다.
지금까지 본 적 없는 분자가 항노화제가 될 수 있을지 예측하는 학습을 한 결과, AI에 대해 4340 종류의 분자를 주었을 때, 불과 5분 만에 AI는 결과 목록을 제시했습니다. AI가 제시한 목록에는 21종의 항노화제일 가능성이 높은 분자가 포함되어 있었습니다.

Barrett는 "우리가 4340 종류의 분자에서 노화 방지제의 후보 분자를 확인하려면 적어도 몇 주 이상의 기간과 50,000 파운드 이상의 비용이 들 것입니다."라고 말했습니다.
연구팀은 다음에 AI가 발견한 항노화제 후보를 바탕으로 정상세포와 노화세포에 어떤 효과가 있는지 테스트했습니다. 테스트 결과, 21종의 화합물 중 Periplocin, Oleandrin, Ginkgetin의 3종류는 정상 세포에 영향 없이, 노화 세포만을 제거하는 데 성공했습니다.

이 3종류의 항노화제 후보 분자가 동물의 체내에서 어떻게 작용할지를 상세히 조사하기 위해 연구팀의 추가 테스트가 실시되었습니다. 그 결과, 이 후보들 중에서, 올레안드린은 이미 알려진 항노화제들보다 효과가 높은 것으로 밝혀졌습니다.
Barret은 "AI를 이용한 기계 학습이 충분한 품질의 데이터를 제공해 준다는 것을 확인할 수 있다면 화학자와 생물학자가 질병의 치료법이나 약품 개발을 하는 과정을 가속시킬 수 있습니다."라고 코멘트.
연구팀은 실험에서 발견된 3종류의 분자를 인간의 폐 조직에서 테스트하고 있으며, 그 결과를 2025년에 보고할 예정입니다.
이제 AI 덕분에 회춘 가능할까요? ㅋㅋㅋ

'AI · 인공지능 > AI 뉴스' 카테고리의 다른 글
| OpenAI 「초지능이 탄생하면 제어 불가능」, 인류를 멸망시키는 AI를 다른 AI로 감시할 계획 (4) | 2023.07.13 |
|---|---|
| ChatGPT에 '코드 인터프리터' 추가, 누구나 데이터 분석가가 될 수 있는 시대의 도래인가 (5) | 2023.07.12 |
| AI에 '호기심'을 갖게 함으로써 퍼포먼스를 개선할 수 있다 (3) | 2023.07.12 |
| AI와 인간의 태그로 예측 정밀도 20% 향상, 삿포로 맥주의 AI 수요 예측 시스템 (9) | 2023.07.11 |
| 거짓 정보 채팅 AI 'PoisonGPT'가 개발된다 (3) | 2023.07.11 |
| ChatGPT의 액세스 수 증가가 둔화 (2) | 2023.07.04 |
| 입사지원서를 30초만에 생성. ChatGPT로 취업활동 개선 (5) | 2023.06.29 |
| 일본이 AI에 의한 가짜 정보 확산 대비 체제를 정비, 다카이치 과학기술장관이 제창 (3) | 2023.06.29 |